Navigation for Station navigation
Our Changing World
Stories about science and nature from out in the field and inside the labs across Aotearoa New Zealand.
Thursdays 7:30pm, repeated 1:15am Sundays. One feature plays 3:35pm Wednesdays.
Navigation for Our Changing World
Latest audio
-
Sniffing out cancer
Claire visits the team at K9 Medical Detection Charitable Trust to learn how their dogs are being trained to detect bowel and prostate cancer. Read more Audio
-
Totara treasure hunt
4 Nov 2021Claire Concannon hits the Central Otago hills with Botany PhD student Ben Teele to imagine the landscape as it use to be, and to follow the clues to find leftover pockets of tōtara trees. Read more Audio
-
Favourite plants
28 Oct 2021Claire Concannon hears how the the New Zealand Plant Conservation Network's favourite plant competition is shaping up, while Katy Gosset learns about research to improve the quality and growth… Read more Audio
-
The details behind the data
21 Oct 2021This week on Our Changing World, Aotearoa Science Agency's Damian Christie speaks to three scientists about the world of data. Read more Video, Audio
-
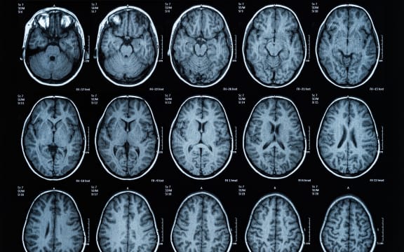
The New Zealand genetic frontotemporal dementia study
14 Oct 2021Claire Concannon hears from Dr. Brigid Ryan of the University of Auckland about the New Zealand genetic frontotemporal dementia study and speaks to some of the family members involved in this unique… Read more Audio
-
Using bioengineering to enhance healthcare
7 Oct 2021Stories about the potential of bioengineering to transform health care. A new tracheostomy kit design that has halved the time for emergency operations and 3D bioprinting of tissues to help healing. Read more Video, Audio
-
Physics on ice
30 Sep 2021Stories of physics research in Antarctica - into, under, and from within the ice. Claire finds out about measuring sea ice thickness and supercooling. Katy Gosset learns how scientists detect… Read more Audio
-
Brain stories - Parkinsons disease & perceiving masked emotions
23 Sep 2021Claire Concannon learns about experiments aimed at slowing Parkinson's Disease progression. Sonia Yee explores research into our perception of emotions in a mask-filled world. Read more Audio
-
The kaka's return
16 Sep 2021The return of South Island kākā to the the Ōtepoti Dunedin area has been a bit of a rollercoaster ride. Claire Concannon hears about the tragedies and the triumphs, and the plans for what comes next.
… -
Wading into mangrove research
9 Sep 2021Native mangroves in Aotearoa are expanding, putting them in conflict with some local communities & councils. A wade into the research about the value of mangroves & how they are managed. Read more Audio
-
Caring for the forest
2 Sep 2021Katy Gosset finds out how researchers investigate the plant penetration powers of myrtle rust. Claire Concannon speaks with the caretaker of a tropical forest and hundreds of butterflies. Read more Audio
-
Surveying the skies
26 Aug 2021Two stories of looking to the skies. Claire Concannon joins a hunt for planets outside of our solar system. Katy Gosset reveals the results of the annual New Zealand Garden Birds Survey. Read more Audio
Our Changing World
Stay Informed
Sign up to receive a regular newsletter from Our Changing World
The microscope image featured in the logo is of the mineral labradorite, taken by Peregrin Hyde – www.perescope.co.nz.
- Email ourchangingworld@rnz.co.nz
- Like OurChangingWorld on Facebook
Thursdays 7:30pm, repeated 1:15am Sundays. One feature plays 3:35pm Wednesdays.
Follow this podcast.
Direct XML Feeds
The link below can be pasted into your podcasting software.