Science
Suspicious minds
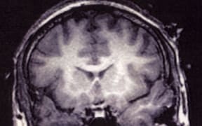
Guilt or innocence could soon be determined by brain wave technology, a New Zealand professor says. Audio
New encounters with the South Island Kōkako
The now $10,000 reward for spotting the the long-believed extinct South Island Kōkako has resulted in around 50 reports of possible encounters. Audio, Gallery
Wiping out Wasps
A nationwide team of academics is developing large scale, state-of-the-art technology to combat the common wasp. Professor of Entomology and Ecology at Victoria University Phil Lester explains. Audio
The Sound Lab
Wyatt Page is concerned that the noisy world we live in and our increasing use of loud headphones is bad for our hearing. Audio
The Sound Lab
Wyatt Page is concerned that the noisy world we live in and our increasing use of loud headphones is bad for our hearing.
AudioThe clover 'dress code'
Understanding the 'dress code' that allows clover plants to recognise friendly nitrogen-fixing bacteria could help us improve farming efficiency. Audio
The clover 'dress code'
Understanding the 'dress code' that allows clover plants to recognise friendly nitrogen-fixing bacteria could help us improve farming efficiency.
AudioAlternative medicine: quackery or therapy?
There is a perception that alternative or complementary medicines are safe. Is this the case? Audio
'Spider bum parachutes' envelop North Island towns
Areas around the Coromandel have been draped in blankets of cobwebs as a result of last week's flooding. Video, Audio
Microchips and being human in 2050
Would the convenience of a microchip to open doors and make Eftpos payments outweigh privacy concerns? And a preview of 2050. Audio
Spiders, Spiders Everywhere
What looks like a massive cobweb has been spotted in Bay of Plenty over the weekend. It's reported to look like it covers an area of about 30 meters, at Gordon Spratt Reserve in Papamoa, after many… Video, Audio
Science commentator Siouxsie Wiles
The prototype device that can suck water out of the air - even in conditions of just 20 to 30 % humidity, a bid to reduce the numbers of animals used to test new medicines and how locusts are helping… Audio
Spray and pray 'just asking for an environmental disaster'
A new intensive farming practice in the Rangitikei known as spray and pray is an environmental disaster waiting to happen, according to Fish and Game.
Bess Koffman - A Speck of Dust
A couple of years ago US scientist Bess Koffman travelled to New Zealand to research whether or not new Zealand dust influenced the last Ice age - and if a tiny speck of dust has the potential to… Audio
Solving the space junk challenge
As well as littering this planet with lots of rubbish, we're now filling space with debris, too. Dr Jason Held of Saber Astronautics thinks he might have found an answer. Audio, Gallery
A tree on a chip: powering robots of the future
Professor Peko Hosoi from MIT has made a 'tree on a chip' to help power the robots of the future. Audio
Professor Catherine Donnelly - A long history of cheese
Professor Catherine Donelly compiled and edited the first-ever Oxford Companion to Cheese. Besides being a cheese fanatic, Donnelly is a 'cheese politics' pundit. Audio
Christy Goldfuss - science in the time of Trump
Christy Godfuss is the vice president for energy and environment policy at the progressive policy institute, the Center for American Progress (CAP). She has taken part in conversations with NZ's Pew… Audio, Gallery
Saturn moon 'able to support life'
Saturn's ice-crusted moon Enceladus may now be the single best place to go to look for life beyond Earth.
Wild weather and the elephant in the room
Cartoon - Toby Morris asks whether New Zealand's run of abominable weather recently might have a common cause.