Chalky Teeth
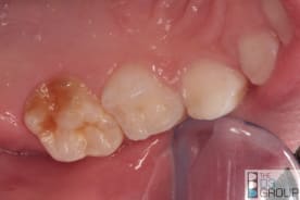
Examples of chalky teeth in 6-year old molars. Copyright D3 Group
The images in this gallery are used with permission and are subject to copyright conditions.
Examples of chalky teeth in 6-year old molars. Copyright D3 Group
The images in this gallery are used with permission and are subject to copyright conditions.